How to Protect Your Teeth from Acid Erosion

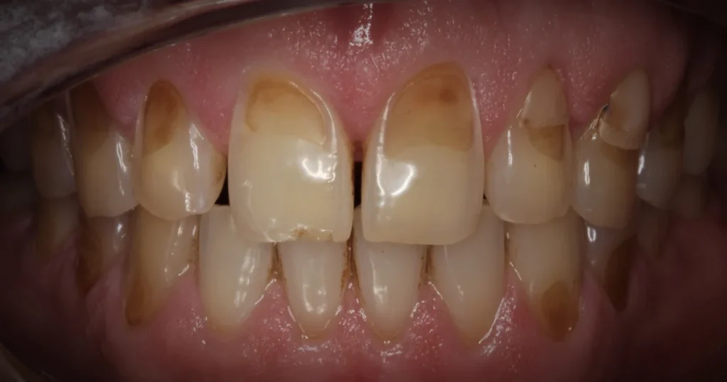
A picture of a set of teeth with acid erosion
This article explains how to protect your teeth from acid erosion through practical daily strategies and professional preventive care.

If you’re experiencing tooth sensitivity or noticing that your teeth appear thinner or more translucent, acid erosion may already be affecting your enamel. To protect your teeth from acid erosion, you must reduce acid exposure, strengthen enamel through remineralization, and adjust daily habits that silently weaken tooth structure and dental hygiene over time.

In this article, we explain what causes acid erosion, how to recognize early warning signs, which habits help prevent further enamel damage, and when professional dental care becomes necessary to preserve long-term oral health.

A picture of a woman suffering from toothache that is because of enamel erosion

What Causes Acid Erosion and How It Damages Teeth

Acid erosion occurs when acids repeatedly contact tooth enamel, dissolving its mineral structure. Unlike cavities, which are caused by bacteria, enamel erosion is a chemical process. Once enamel is lost, it cannot regenerate naturally.

Acidic Foods and Beverages

Frequent consumption of soft drinks, citrus fruits, energy drinks, flavoured sparkling water, and fruit juices lowers oral pH and weakens enamel. Sipping acidic beverages throughout the day prolongs acid exposure and accelerates enamel loss.

Acid Reflux and Medical Conditions

Gastroesophageal reflux disease (GERD), chronic vomiting, and certain eating disorders expose teeth to stomach acids, which are significantly stronger than dietary acids. This internal source of acid can erode enamel rapidly, particularly on the back surfaces of teeth.

How Enamel Erosion Leads to Sensitivity

As enamel thins, the underlying dentin becomes exposed. Dentin contains microscopic tubules that connect to nerve endings, which explains why sensitivity to hot, cold, or sweet foods increases as erosion progresses.

Early Signs of Acid Erosion to Watch For

Acid erosion often develops gradually, which is why many people do not recognize it until enamel damage becomes more advanced. Identifying these early warning signs allows you to protect your teeth from further erosion before permanent structural damage occurs.

  • Increased tooth sensitivity
    Sensitivity to hot, cold, or sweet foods may indicate thinning enamel and exposed dentin.
  • Teeth appear more yellow
    As enamel erodes, the underlying dentin, which is naturally more yellow, becomes more visible.
  • Smooth or glossy enamel surfaces
    Acid can create an unusually smooth or shiny appearance on tooth surfaces.
  • Rounded or softened tooth edges
    Sharp edges may become worn down or slightly rounded due to mineral loss.
  • Small dents or cupping on the chewing surfaces
    Early erosion may appear as shallow indentations on molars.
  • Transparency near the biting edges of front teeth
    Thinning enamel can make the tooth tips look slightly translucent.

Recognizing these changes early and seeking professional evaluation can help prevent progression to more severe enamel erosion that may require restorative treatment.

An image representing the protection of enamel

Daily Habits That Help Protect Your Teeth from Acid Erosion

Preventing further enamel loss requires modifying daily routines:

  1. Rinse your mouth with water after consuming acidic foods or drinks
  2. Wait 30–60 minutes before brushing after acid exposure
  3. Use fluoride toothpaste to support remineralization
  4. Drink acidic beverages in shorter sessions rather than prolonged sipping
  5. Stay hydrated to maintain healthy saliva production

Fluoride strengthens enamel by enhancing remineralization, making it more resistant to future acid attacks. During routine general dentistry visits, dentists often assess enamel wear and recommend personalized preventive strategies.

Read more: Best oral health products

Foods and Drinks to Limit or Avoid

Frequent exposure to acidic and sugary foods is a leading cause of enamel erosion and long-term tooth sensitivity. Understanding which items lower oral pH or weaken enamel helps you take practical steps to protect your teeth from acid erosion.

Food / Drink CategoryWhy It Harms EnamelHow It Contributes to Acid ErosionSafer Alternative
Soft drinks (regular & diet)Highly acidic; often contain phosphoric or citric acidRapid enamel demineralization; prolonged sipping worsens damageWater or milk
Energy & sports drinksHigh acidity + sugarIncreases enamel erosion and cavity risk simultaneouslyElectrolyte water (non-acidic)
Citrus fruits & juicesNatural acids (citric acid)Softens enamel, especially with frequent consumptionWhole fruit with meals + water rinse
Vinegar-based foods (pickles, dressings)Strong acidic contentRepeated exposure weakens enamel surfaceLimit frequency; consume with meals
Wine (especially white wine)Acidic and dries the mouthLowers oral pH and reduces saliva protectionDrink water between sips
Sugary candies & sticky snacksFeeds plaque bacteriaProduces acids that compound enamel breakdownNuts, cheese, raw vegetables
Sparkling water (flavored)Carbonic acid + added flavor acidsGradual enamel softening with frequent intakePlain water

Limiting these foods does not require complete elimination; frequency and exposure time matter most. Making small adjustments, such as rinsing with water after consumption and avoiding prolonged sipping, significantly reduces enamel stress and helps maintain long-term tooth health.

Read more: How to Remove Plaque and Tartar at Home

Professional Treatments for Advanced Enamel Erosion

When enamel loss becomes significant, professional care is necessary. Mild erosion may be managed with fluoride treatments to strengthen remaining enamel.

More advanced cases may require restorative dentistry, such as bonding or crowns, to rebuild damaged tooth structure and protect exposed dentin. In difficult situations where erosion compromises the structure, further evaluation may be needed to preserve tooth stability.

Regular dental checkups allow early detection of enamel changes before major intervention is required.

The Mayo Clinic has given insights into the difference between tooth decay and enamel erosion:

“Tooth erosion isn’t the same as tooth decay, but both can cause long-term damage to your oral health. Tooth decay happens when dental plaque stays on your teeth for too long. Tooth erosion occurs when your enamel weakens due to teeth grinding, acidic foods or everyday wear and tear.”

Stay Ahead Of Acid Erosion With Proper Care

Acid erosion is preventable when detected early and managed properly. Reducing acid exposure, supporting remineralization, and maintaining consistent oral hygiene are key to protecting enamel from long-term damage.

At Lawrence Dental Centre, we help patients protect their teeth through comprehensive and preventive dental care and tailored restorative care when necessary. Early intervention significantly reduces the risk of permanent enamel loss.

FAQ

  1. Can enamel grow back after acid erosion?

    No. Enamel cannot regenerate naturally, but fluoride can help strengthen and protect remaining enamel.

  2. Is brushing immediately after acidic foods harmful?

    Yes. Brushing too soon can damage softened enamel. Waiting at least 30–60 minutes is recommended.

  3. When should I see a dentist for enamel erosion?

    If you notice increased sensitivity, thinning enamel, or visible surface changes, professional evaluation is advised.

Leave a Reply

Your email address will not be published. Required fields are marked *

Call Now!